放置(Co) Vs. 予防+処置 (O_O)

処置の繰り返しを回避する目的で
放置・経過観察が理想的な経過を
辿れなかった場合のその後の対処
方法が思った効果に繋がるのか?
という視点での投稿記事が
最終的には処置をすることになった時
その繰り返しから脱するのは難しい
それとは違って最初から予防処置を
施しながら控えめな処置を併用して
有る状態まで症状が進行した場合には
それなりの処置をしていくという内容の
を踏まえて、放置するという選択をする場合
それなりのリスクを考慮して自分なりに考え
結果は受け入れる心の準備が必要となり
可能性を信じた挑戦になると思うのですが
一般的な処置の流れに反した挑戦を選択する
原動力は 自然の力の偉大さ であり
そのことに真摯に向き合っている方が
自分を信じて放置を選択し、結果は素直に
受け入れる事ができるということを私に
見せてくれたという記事が書けたのですが
この方のお子様が違う結果を出し始めていて
放置→控えめな処置という難しい成長期での
挑戦の軌跡が

お母さんに連れてこられたのが8歳の時
虫歯の治療(教育)が出来る年齢を過ぎて
2016年4月に虫歯でなく乳歯の動揺を気にして来院
とりあえず乳歯の虫歯は永久歯との交換期という
こともあり処置はせずに置いておくとして
右上下の第一大臼歯の虫歯について説明するも
お母さんは動揺している乳歯の対処だけを希望し
当医院が注目・心配するむし歯はとりあえず
そのまま放置ということに・・
恐らく、局所より全体を重視している感じ

同年の9月に来院した時は訴えの乳歯の問題が
解決していることと 大人の歯の虫歯の拡大
について写真で説明し理解を求めましたが
何処から来る自信がその提案を葬って放置

2017年1月の受診の時、指摘した歯の実質欠損が
元に戻る可能性がほぼ失われているという事を
なんとか理解できるよう説明するも、様子見に
(;゜ロ゜)

2021年7月の状態にさすがにこのままはまずいと
染め出しPH検査をするも問題が思ったよりは
無いことに、母親が満足?顔(-_-;)

2022年4月の時は本人の年齢も適齢になったため


全体のレントゲンを撮り、お母さんに
事の重大さを分かりやすく説明し念のため
小さいレントゲンも撮影させていただくも

pH6.5→pH8.0という結果もあってか
硬い意思は変化する兆しが無かったのが

2023年4月 左上の第一大臼歯の痛みを訴えて来院
したことが変化の起点となってくれたようで

小さいレントゲンで確認し、明らかに進行が
痛みを訴えている歯よりも問題が大きいと
確認出来このままでは歯が割れて崩壊する
可能性を他の方の写真を見せて話しをし
お母さんの意識も一寸変化し始め、予防を
踏まえた来院を考えて頂ける様に
本人も、痛みを感じてきている反対の上の

歯の今までの経過を見て頂き、この虫歯の大きさで
痛みを感じ不安に思うなら右の歯は更に問題と
いう説明と、右の歯を処置していないのであれば

左の歯の痛みと虫歯の関係を冷静に考えて
まだ削って詰めなくとも再石灰化を望める
状態と言えるのではないか?と言う希望的
視点で言ったことがまたお母さんの気持ちに
火に油を注いでしまった様でそのまま帰宅に

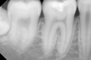
同年の10月に検診で来られたときの右上第一大臼歯の
虫歯の状態の写真が緊急を要する感じに見え

再度レントゲンで確認すると、神経を処置しな
ければという状態になってきていることを確認
当医院の料金システムが自費診療に変更したこと
を考え他医院にて抜髄処置をすることを
提案することになったのですが

2024年4月 予約を取られて再来院されたときに
学業のことがあり他医院に行くのは問題が有ると
当医院での処置を希望され

その時に確認のレントゲンを撮り見るなり
「もういい加減諦めて処置を!」思わず
語気を強めたのですが、お母さんは冷静に
その場を去ってから電話で「日よりを考えて・・」

2日後に旦那様が同伴され処置の内容を
相談すると、「急ぎで連れてきましたが今日は
日が良くないのでドックセメントは使わずに
お願いします!」??ということだったので
浸麻+CC+覆罩材+レジンで処置をし
「痛みが出たら諦めて根の処置を!!」
と一言追加させて頂きました。

同年の11月に検診で来られたときに以前痛みが有った
左の上第一大臼歯が歯ブラシの毛先で痛み出すと
訴えるので、それは様子を見る様にアドバイスをし
4月の詰めた処置の後は全く痛みが無かった事を確認

2025年4月初旬今度は左上の歯の痛みでは無く
右下の歯が常温の水でも凍み出したと

レントゲンで虫歯の確認をするもさほど・・

それより処置した歯が気になったので
レントゲンを撮って痛みが無かった理由を確認
とりあえず凍みる左の下は様子を見てもらう事に

同年の4月の終わりに来院したときに左の下が
まだ凍みると訴えが有ったので、日よりを確認して
今回はドックベストセメントを連休前に行いました。
すると、連休のさなかに電話で
「まだ凍みるのはどうしたらいいですか?」
との問い合わせがあり、もしひどく凍みるのであれば
麻酔をして上の歯の時と同じ処置をする事を伝えると
連休後まで我慢され、来院された時も凍みるとの訴え
電気歯髄診断機で上下の第一大臼歯が他の歯より
レベル3にて反応 コントロール群ではレベル6
右の第一大臼歯はレベル4で反応と言う結果に
不思議に思って冷水と氷水を用意し
常温水から徐々に検査していくと
「あれっ 凍みないです!」

という答えに安堵し、念のためにレントゲンを撮り
この事を踏まえ左の上の痛みを感じた歯もいづれ
同様の処置をしていくか本人とお母さんに期待?
という経過に 放っておく(Co)ことと予防+処置
が混在してるけどこれってどちらが正しいとか
本人の為になるのかというヒントが隠れていそう
患者さんには申し訳ないですが、もうしばらく
お付き合い願えれば・・ ただ

1年も経たないのに虫歯が始まっているのは、
予防拡大が出来ていないからか、食や癖(生活習慣)
がまだ虫歯発生に好都合なままなのか イメージ?
放置も予防も挑戦する姿勢は賛同しますが
自分の選択した事での結果を素直に認め
謙虚さを持って事に当る姿勢を重視して
攻防は続きそうです(・_・)(._.)

