保険と自費の違いが分かりやすい経過?

よく患者さんから聞かれる
「保険と自費の違いはなんですか?」
この問いへの説明は、簡単な様で難しいと
常々感じていたので、今回の症例で(^_-)-☆
2010年1月 右上第二大臼歯の違和感で来院

状況説明で終了
2011年9月に 詰め物が外れたという訴えで来院され

明らかな虫歯の拡大ではないかとレントゲンを撮り

処置が必要なことを説明するも納得されず終了に
同年の12月に同部の痛みが激しくなり来院


保険にて根の処置をしてレントゲン確認した時に

被せ物をするか聞くと、そのままにしたいと・・
2014年4月 同部の手前の歯の詰め物が外れたと来院
おそらく体軸の右側ブレが関与していそうでしたが
そのことは自費領域の対処法になるので

根の処置した歯が崩壊して残根状態になった
理由ははさておき保険でできる処置として

通常の抜歯をし、手前の歯にはインレーをやり直し
他の部位の虫歯の問題を説明し、保険診療の特徴の
明らかなる問題にのみ対処するという方針で
同年の7月に、今回の自費と比較する
保険診療の題材となる左下第二大臼歯
の痛みに対処するために



理想的な処置として崩壊した歯より親知らずの活用
という自費領域の処置は説明だけにし、保険診療で
神経の処置をし、隣の親知らずを抜歯する必要を説明

思った通り、ご本人(医療関係者)の考えでは抜歯は
避けたいとのことで同部の築造(土台)処置だけ行う
同年の9月に 今回の保険と比較する自費診療の題材となる
左下第一大臼歯のインレー脱落の訴えがあった歯を
保険にて再修復したあと、来院されなくなりました。
2015年8月に反対の右下第二大臼歯の痛みで来院され

保険診療の希望もあり詰めて治めようとしましたが
同年9月に痛みが増幅し、ご本人に納得していただき
そうなる前の予防処置の必要性の説明は一応して


保険診療で神経の処置をし

痛みが治まるまで一時的に蓋をして様子を見ることに
2016年5月 説明が功を奏してか本人の気持ちが
左下の親知らず抜歯を覚悟されて来院され

保険診療で抜歯を行い、痛みの様子を見ていた
右下第二大臼歯の再根治と冠をかぶせる処置も
併せて保険で行うことになりました。


同年の12月にいろいろ思うところはありますが
冠を被せたことで一旦終了し

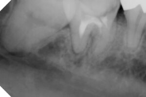
2017年8月 再来時に左下第二大臼歯のレントゲン
を撮り処置途中歯の被せ物の相談をするもそのままに
2019年7月になってやっとご本人が処置の決断をされ


根の処置が上手くいかないことを説明し、保険で
土台と冠を被せることで納得していただきました。
2020年6月 右上第一大臼歯の問題をご本人が訴え

レントゲンを撮影し以前と比較説明してから
2020年~2024年まで来院されなくなりました。
ここまでの処置は、当医院が保険診療を主体に
なるべく処置を控え患者さんの意向を尊重し
時間という手法を有効活用しながら試行錯誤
したなかで、患者さんとの信頼関係を上手く
構築することが出来ず その場限りという対処法に
なっていたのは、ご本人の生活環境を尊重したから
だと考えます。
2022年10月 顔認証導入の義務化を機に
当医院の診療方針を貫くため料金制度を
保険診療を辞め自費診療のみに変更
2024年1月に前歯の虫歯で来院され
自費診療のみとなったことを了解いただき
前歯と奥歯の小さい虫歯の詰める処置を
行いながら、自費診療の理由を説明しました。
2025年12/9 右上奥歯の欠けた感じと左下の
痛みの訴えが有ったので、欠けた部分の対処
と痛みの部分を小さいレントゲンで確認

冠を被せた第二大臼歯の問題以上に、痛みは
第一大臼歯の詰め物の下が虫歯になっている
ことを説明し、処置内容と概算費用をつたえ
自費診療:衛生業務6500円+説明3000円
2026年1/8に左下第一大臼歯の痛み増幅で来院

温冷刺激痛と咬合痛まで起こしているので
神経の処置が必要で被せ物まですると
かなりの金額と時間がかかると説明し

すんなり了解が得られたのは、息子さんが
進路確定し卒業のめどが立ち、自分のことを
考えられる時間の余裕ができたからなのかも
そこで、局所麻酔下で神経の頭の部分を除去し



1時間半ほどかけて神経組織固定と薬液を塗布
自費診療:19500円
同年1/15 薬液除去し最終パッキング材で蓋をし


土台を作成する型取りをして仮詰めで終了

1時間半の工程で自費: 19500円+リーマ代2800円
同年1/29 できてきたファイバーコアの土台をset
保険診療であれば仮歯調整して今回は終了し
次回形成と印象になりますが

患者さんに時短の説明をし納得いただけたので
続けて形成した後に印象を取り仮歯の調整まで


2時間超で自費診療:26000円+技巧代7600円
同年2/19 最短で根の処置から被せるまでこぎ着け

E-max set 自費:75000円
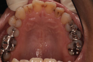
仮歯との違い と セラミックと金属の見た目


口腔内写真で明らかに違いが判るのは
保険で銀歯→ 自費で白い歯→

レントゲンでは神経の詰め物の状態の違い→
歯根の崩壊度は経時的なもの?→
患者さん自身の評価は
「これですよね!治療ができた感じ❤
息子もそうさせないと!」
そうでした、卒業を控えていた息子さん
の処置を仮歯で済ませていたことを思い出し
「勤め先に歯科があるはずだから、帰省して
っていう考えはしないよう伝えてください!」
という姿勢が、当医院の自費診療
ただ、被せ物が違う のでは無く
患者さんの為に何が一番良くて
私(院長)に出来ることは?の
自問自答が常にできているか
なんだと思うんですが・・
分かっていただけるでしょうか(-_-;)
<考察>
以前は、保険と自費が混在する環境で患者さんの
要求に合わせるという体制だったため、主に保険
診療で患者さんはそれなりに来院されていました。
その分、本当に必要な処置か?とかその処置はこの
場合に最適だといえるか?という術者の自問自答の
機会を奪っているような感じがしていました。
令和4年より完全自費へ移行したことにより、
患者様の数は激減しましたが、私の考える理想的
な診療内容に賛同いただける方に限られた事で
患者さんと施術者の意思疎通が最優先される様に
なってお互いのストレスが減ってきたかと・・
ただ、経営面ではこの収支では働き盛りの子育て
真っ最中の時期にはかなり無理があると感じます。
今回のコロナ騒動から保険制度や税制の改変が
ある意味、日ごろの疑問や悩みに対して態度を
はっきりさせる機会を与えて貰ったと思います。
「処置は控えめ、行ったことで患者さんを苦しめぬ様
日々症例と向き合い答えを探し続ける謙虚な姿勢を!」
安い、早い、うまい は魅力的ですけど・・
保険→病変を対象として健全な形態と機能の回復を優先
自費→歯は大切な関節臓器で出来るだけ温存に努める
処置は自費も保険も歯を削ることに大差ないと考え
自費の処置は保存性や体内における適応性を最大考慮
私として保険診療の場合、自己修復能力が極端に低い
生体維持に大切な歯に簡単に手を加える選択に歯科医
も患者さんも慣れている現状は如何ともし難いと愁う
この方も被せた後の予防処置の受診は・・
繰り返させる悲劇はまだ続くのか
<推測>
この方の場合、このまま同じ受診スタイルを続ければ
おそらく、今回自費で処置した歯も十年後には保険で
処置した歯と同じ運命をたどると考えます。
虫歯や歯周病が生活習慣と密接な関係にあるとする
ならば、やることは生活習慣の修正・養生法に(^_-)-☆
”歯と身体と心の平穏を!”
医療者は人であり 神と同じ行為には・・
ならば、施された行為で治ったなどという
幻想より自省を含めた気付きに心を寄せて
<m(__)m>

